انواع نادر سرطان پستان علائم و نشانه های متفاوتی در مقایسه با هم دارند. آنها همچنین ممکن است درمان های متفاوتی داشته باشند. احتمال ابتلا به سرطان های نادر پستان، بسیار کمتر از سایر سرطان های متداول پستان مانند کارسینوم داکتال درجا، کارسینوم داکتال تهاجمی، کارسینوم لوبولار و … می باشد. با این حال، آشنایی با نشانه ها و علائم، چگونگی تشخیص و درمان انواع نادر سرطان پستان، می تواند در راستای تشخیص به موقع و زودرس آنها اثربخش واقع شود و احتمال درمان پذیر بودن آنها را بالا ببرد. در ادامه، به سرطان های نادر پستان و نشانه ها و علائم و راههای درمانی آنها خواهیم پرداخت.
سرطان التهابی پستان
سرطان التهابی پستان (IBC) یکی از انواع نادر سرطان پستان است که اغلب در بافت نرم پستان آغاز می شود و باعث انسداد رگ های لنفاوی در پوست پستان می شود. در نتیجه، پستان ممکن است به دلیل افزایش جریان خون و ایجاد گلبول های سفید خون، سفت یا قرمز شده و احساس خارش داشته باشد. این نوع سرطان با انواع دیگر متفاوت است و تفاوت عمده آن در علائم، پیش آگهی های بیماری و درمان می باشد.
اصطلاح التهابی تنها به ظاهر سینه ها اطلاق می شود. هنگامی که پستان ها به دلیل عفونت یا صدمه ملتهب می شوند، اغلب حساس، متورم و قرمز شده و احساس خارش پیدا می کنند. با این حال، علت اصلی IBC ارتباطی با التهاب ندارد.
به دلیل شباهت در علائم، IBC ممکن است در ابتدا به عنوان عفونت پستان تشخیص داده شود. با این حال، اگر چه آنتی بیوتیک ها می توانند عفونت پستان را برطرف نمایند، اما نمی توانند IBC را درمان کنند. اگر پزشک آنتی بیوتیک تجویز کند و علائم طی 7 تا 10 روز برطرف نشود، این نشانه ای از ابتلا به IBC می باشد. IBC تمایل دارد به سرعت و تهاجمی رشد کند و معمولاً در مرحله IIIB یا مرحله IV تشخیص داده می شود.
گزینه های درمانی سرطان پستان التهابی: درمان سرطان پستان التهابی شامل شیمی درمانی، به دنبال آن جراحی (جراحی حفظ پستان یا ماستکتومی) و پرتودرمانی می شود. درمان های اضافی دیگر مانند هورمون درمانی یا شیمی درمانی اضافی نیز ممکن است انجام شود.
سرطان متاستاتیک پستان
سرطان متاستاتیک پستان که به عنوان سرطان سینه پیشرفته یا سرطان مرحله IV نیز شناخته می شود، نوعی از سرطان است که به دیگر بخش های بدن نیز منتشر شده است. متاستاز سرطان سینه ممکن است در غدد لنفاوی زیر بغل یافت شود یا به دیگر بخش های بدن نیز گسترش یابد. مناطق رایج متاستاز شامل اندام های دوردست مانند ریه، کبد، استخوان و مغز می باشد. حتی پس از برداشتن تومور اصلی، سلول های تومور میکروسکوپی ممکن است در بدن باقی بمانند که ممکن است منجر به بازگشت سرطان و گسترش آن شود.
سرطان متاستایپتیک پستان ممکن است در تشخیص اولیه مشخص شود یا ممکن است فرد ماه ها یا سال ها پس از درمان اولیه، دچار متاستاز شود. خطر بازگشت سرطان پستان و متاستاز شدن سرطان پستان از فردی به فرد دیگر متفاوت است و به بیولوژی تومور و مرحله تشخیص اصلی سرطان دارد.
درمان سرطان پستان متاستاتیک شامل درمان های دیگر مراحل سرطان پستان است:
- شیمی درمانی
- هورمون درمانی
- رادیوتراپی
- درمان هدفمند
- جراحی
این درمان ها ممکن است به تنهایی یا در ترکیب با هم انجام شوند.
سرطان سینه در مردان
سرطان سینه در مردان زمانی رخ می دهد که سلول های بدخیم در بافت های پستان شکل می گیرند. هر مردی ممکن است به سرطان پستان مبتلا شود، اما بیشتر در مردان بین 60 تا 70 سال دیده می شود. حدود 1 درصد از کل سرطان های پستان، در مردان رخ می دهد و از انواع نادر سرطان سینه می باشد.
مردان بسیاری از شنیدن اینکه ممکن است به سرطان سینه مبتلا شوند، شگفت زده خواهند شد. مردان دارای بافت سینه هستند که همانند بافت سینه زنان رشد می کند و به همان صورت مستعد سلول های سرطانی است. در دختران، تغییرات هورمونی در دوران بلوغ باعث رشد سینه ها می شود. در پسران، هورمون های ساخته شده توسط بیضه ها مانع از رشد سینه ها می شود. سرطان پستان در مردان شایع نیست، زیرا مجاری پستان های مردان به اندازه زنان توسعه نیافته و در معرض هورمونهای رشد زنانه نیست.
درست همانند زنان، سرطان پستان در مردان ممکن است در مجاری شروع شده و به سلول های اطراف گسترش یابد. در صورتی که تومور از مجاری زیر نوک پستان به سطح پستان شروع به حرکت کند، مردان به ندرت دچار سرطان التهابی پستان یا بیماری پاژه پستان می شوند. پستان های مردان دارای تعداد کمی لوبول می باشد، بنابراین سرطان لوبولار به ندرت در مردان رخ می دهد.
همچنین مردان باید از ژنیکوماستی (بزرگ شدن پستان مردان) شایع ترین اختلال پستان مردان آگاهی داشته باشند. ژنیکوماستی نوعی از سرطان نیست، اما باعث رشد نوک پستان یا هاله اطراف آن می شود که می تواند احساس شود و برخی اوقات دیده شود. ژنیکوماستی در پسران نوجوان به دلیل تغییرات هورمونی در دوران نوجوانی شایع است و در مردان سالخورده نیز به علت تغییرات هورمونی در اواخر عمر ممکن است رخ دهد. برخی داروهای خاص یا شرایط خاصی مانند سندروم کلاین فلتر ممکن است سبب بیماری ژنیکوماستی شوند. به ندرت ژنیکوماستی به علت وجود تومور است. البته هر گونه توده ای در پستان بایستی توسط پزشک معاینه شود.
درمان سرطان پستان مردان معمولاً ماستکتومی است و به دنبال آن، شیمی درمانی، رادیوتراپی، هورمون درمانی یا درمان هدفمند انجام می شود. از آنجایی که اغلب سرطان های سینه مردان گیرنده هورمون مثبت هستند، داروی تاموکسفین یک درمان استاندارد برای آن محسوب می شود.
برای مردانی که سرطان آنها به غدد لنفاوی سرایت نکرده است، درمان کمکی (درمان پس از عمل) همانند همان درمانی هایی است که برای زنان مبتلا به سرطان سینه به کار برده می شود. برای مردانی که سرطان به غدد لنفاوی سرایت کرده است، هورمون درمانی و شیمی درمانی بایستی انجام شود.
بیماری پاژه پستان
بیماری پاژه پستان از انواع نادر سرطان پستان است که باعث ایجاد تغییرات پوستی خاص روی نوک پستان می شود. این بیماری نادر، کمتر از 3 درصد کل سرطان های پستان را شامل می شود که به نام Sir James Paget، جراح انگلیسی که برای اولین بار این بیماری را در سال 1874 ثبت کرد، پاژه نامگذاری شده است. سلول های پاژه زیر میکروسکوپ بسیار متفاوت از سلول های نرمال هستند و به سرعت تقسیم می شوند. حدود نیمی از تست سلول ها برای گیرنده های استروژن و پروژسترون مثبت می باشد و اغلب آزمایش های پروتئین HER2 نیز مثبت است.
اگر چه زنان مبتلا به بیماری پاژه پستان گاهی اوقات تومورهایی در بافت پستان دارند، اما قابل توجه ترین علائم آن شامل تغییراتی در پوست نوک پستان یا هاله اطراف آن می باشد. این سرطان معمولاً با نمونه برداری بافت پستان تشخیص داده می شود و گاهی اوقات ممکن است ماموگرافی، سونوگرام یا MRI برای تأیید تشخیص آن انجام شود.علائم و نشانه های اصلی بیماری پاژه پستان تغییرات سطحی پوست محدود به نوک پستان یا هاله اطراف آن می باشد. این علائم عبارتند از:
- بثورات پوستی روی نوک یا هاله اطراف پستان، اگزما، پوسته پوسته شدن، قرمزی یا خارش.
- تخلیه نوک پستان
- احساس سوزش، درد، سوزن سوزن شدن خصوصاً در مراحل پیشرفته بیماری
- تغییرات نوک پستان مانند نوک سینه تورفته
- تغییر در پستان از قبیل توده، قرمزی، پوسته پوسته شدن یا زخمی که بهبود نمی یابد.
درمان اصلی بیماری پاژه پستان، اغلب جراحی برداشتن تومور است. سرطان هایی که در مراحل اولیه تشخیص داده می شوند، ممکن است با لامپکتومی حفظ پستان درمان شوند، در حالی که سرطان های بدخیم پیشرفته ممکن است به ماستکتومی نیاز داشته باشند. همانند سایر سرطان های پستان، تیم مراقبتی شما ممکن است شیمی درمانی، پرتودرمانی یا سایر روش ها را برای درمان بیماری پاژه توصیه کنند.
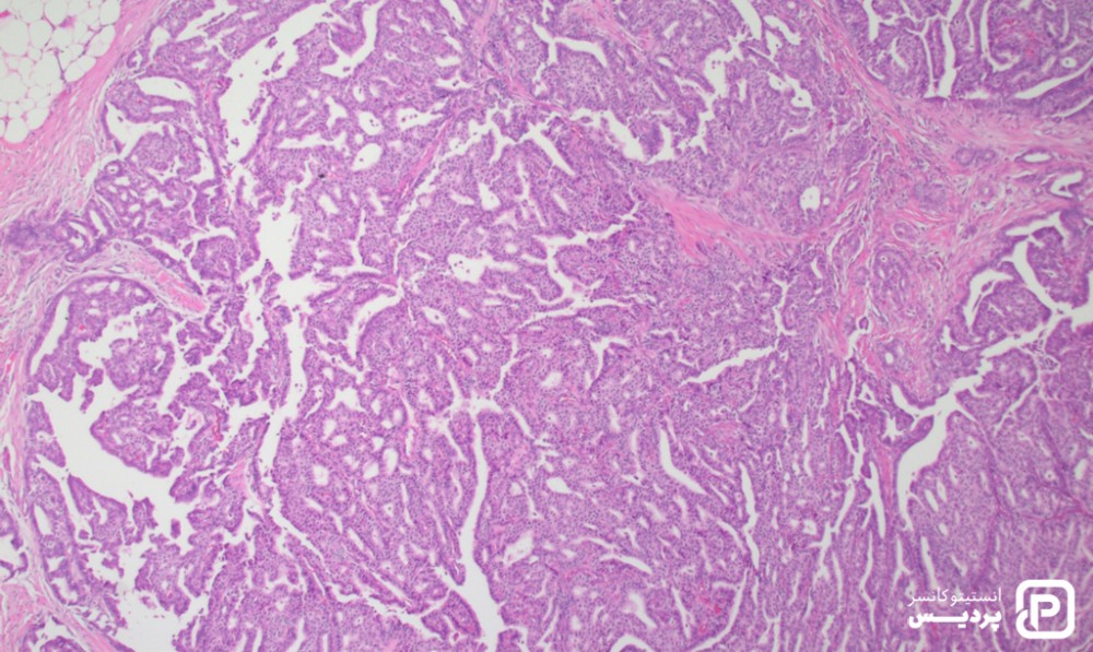
کارسینوم پاپیلاری پستان
در کارسینوم پاپیلاری، سلول های سرطانی به شکل و الگوی خاص سرخس مانند در زیر میکروسکوپ ظاهر می شوند. کارسینوم پاپیلاری از انواع نادر سرطان پستان است که حدود 3 درصد از کل سرطان های پستان را شامل می شود. این نوع سرطان معمولاً پیش آگهی بهتری نسبت به سایر سرطان های شایع پستان دارد. تفاوت اصلی کارسینوم پاپیلاری و سایر سرطان های سینه، شکل ظاهری سلول های سرطانی است که طبق الگوی خاصی زیر میکروسکوپ دیده می شوند. برخی اوقات، سلول های سرطانی بسیار کوچک هستند. در این حالت ممکن است سرطان را میکروپاپیلاری بنامند.
اغلب کارسینوم پاپیلاری پستان تهاجمی هستند و مانند کارسینوم داکتال تهاجمی درمان می شوند. با این حال، کارسینوم پاپیلاری تهاجمی پیش آگهی بهتری نسبت به سایر سرطان پستان تهاجمی دارد. اغلب اوقات، کارسینوم پاپیلاری تهاجمی پس از گسترش کارسینوم پاپیلاری غیرتهاجمی رخ می دهد.
کارسینوم پاپیلاری ممکن است هنگامی که غیرتهاجمی است، تشخیص داده شود. کارسینوم پاپیلاری غیرتهاجمی معمولاً نوعی از کارسینوم داکتال درجا محسوب می شود. در مراحل ابتدایی، هنگامی که سلول های سرطانی تازه شروع به تحت تأثیر قرار دادن مجاری کرده اند، این بیماری ممکن است به عنوان کارسینوم پاپیلاری infiltrating یاد شود. درمان کارسینوم پاپیلاری اغلب ترکیبی از روش های جراحی، رادیوتراپی، شیمی درمانی، هورمون درمانی یا نوعی از درمان است که پروتئین HER2 را هدف قرار می دهد.
جمع بندی
اگر چه احتمال ابتلا به انواع نادر سرطان سینه درصد کمی از سایر سرطان های سینه را شامل می شود، اما داشتن آگاهی در مورد آنها لازم و ضروری به نظر می رسد. چرا که دانش بیشتر در رابطه با انواع نادر سرطان پستان مانند سرطان متاستاتک، کارسینوم پاپیلاری، سرطان سینه مردان و …، منجر به تشخیص به موقع این بیماری می شود و احتمال اثربخش بودن راه های درمانی را بالا می برد. مرکز سرطان پردیس شیراز نیز با تجهیزات به روز و پیشرفته در خدمت شما بیماران عزیز می باشد تا در کلیه مراحل تشخیص و درمان، شما را همراهی نماید.







بدون دیدگاه