سرطان تخمدان یکی از سرطانهای دستگاه تناسلی زنان است که از تخمدانها شروع میشود و معمولاً در مراحل اولیه علائم واضحی ندارد، به همین دلیل اغلب دیر تشخیص داده میشود. این سرطان بیشتر در زنان بالای 50 سال و زنانی با سابقه خانوادگی سرطان تخمدان یا سرطان پستان شایع است. علائم این بیماری میتواند شامل درد یا احساس فشار در ناحیه لگن و شکم، نفخ مداوم، تغییرات در الگوی ادراری و کاهش یا افزایش ناگهانی وزن باشد. در صورت مشاهده این علائم بهویژه اگر مداوم باشند، مراجعه به پزشک توصیه میشود.
روشهای تشخیصی سرطان تخمدان شامل معاینه لگنی، سونوگرافی لگنی و آزمایش خون (مانند آزمایش CA-125) است که در صورت مشکوک بودن، پزشک ممکن است سیتیاسکن یا امآرآی را برای بررسی بیشتر تجویز کند. درمان این سرطان به مرحله بیماری بستگی دارد و شامل جراحی برای برداشتن تخمدانها و بافتهای درگیر، شیمیدرمانی و در برخی موارد پرتودرمانی است. کلینیک پردیس با بهرهگیری از تکنولوژیهای پیشرفته و تیمی از متخصصین مجرب، یکی از بهترین مراکز درمان سرطان تخمدان در کشور به شمار میرود و خدمات کاملی برای تشخیص زودهنگام و درمان این بیماری ارائه میدهد.
- علائم سرطان تخمدان چیست؟
- مهمترین علامت سرطان تخمدان
- اولین علامت سرطان تخمدان
- تشخیص سرطان تخمدان با سونوگرافی
- سرطان تخمدان و آب آوردن شکم
- طول عمر بیماران سرطان تخمدان
- بهترین دکتر برای درمان سرطان تخمدان
کلینیک پردیس شیراز (انستیتو کانسر پردیس) بزرگترین مرکز پزشکی تشخیص و درمان سرطان در جنوب کشور است که در زمینه های مختلف پیشگیری و درمان سرطان، دیابت، بیماری های قلبی و عروقی و … خدمت رسانی می کند. همچنین این مرکز به عنوان یکی از بهترین مراکز تصویر برداری شیراز، خدمات متنوعی از جمله سی تی اسکن کنسر، سونوگرافی، رادیولوژی، ماموگرافی و سنجش تراکم استخوان را ارائه میدهد. جهت مشاوره رایگان و کسب اطلاعات بیشتر می توانید از طریق شماره 07191003888 و یا صفحه تماس با ما، با مجموعه درمانی پردیس در ارتباط باشید.
علائم سرطان تخمدان چیست؟
نشانه ها و علائم سرطان تخمدان معمولاً در مراحل اولیه واضح نیستند و به همین دلیل ممکن است این بیماری دیر تشخیص داده شود. اما برخی از نشانههای رایج سرطان تخمدان که میتوانند هشداردهنده باشند، عبارتاند از:
- نفخ مداوم: احساس نفخ یا تورم شکم یکی از علائم شایع است که معمولاً با مصرف غذا بهبود نمییابد.
- درد در ناحیه لگن یا شکم: درد مداوم یا احساس فشار در ناحیه لگن یا پایین شکم میتواند از نشانههای اولیه این سرطان باشد.
- مشکلات ادراری: نیاز به ادرار مکرر یا احساس فشار مثانه نیز از علائم ممکن این بیماری است.
- تغییر در عادات گوارشی: مانند یبوست یا اسهال، و یا احساس سیری سریع پس از شروع به خوردن.
- کاهش یا افزایش ناگهانی وزن: کاهش وزن بدون دلیل یا افزایش وزن غیرطبیعی نیز میتواند یکی از نشانهها باشد.
اگر این علائم بهطور مداوم و طولانیمدت (بیش از چند هفته) ادامه یابند، بهتر است به پزشک مراجعه کنید تا بررسیهای لازم انجام شود، زیرا تشخیص زودهنگام سرطان تخمدان میتواند شانس درمان موفقیتآمیز را افزایش دهد.
مهمترین علامت سرطان تخمدان
مهمترین علامت سرطان تخمدان، نفخ مداوم و تورم شکم است که با گذشت زمان بهتر نمیشود و حتی ممکن است بدتر شود. این علامت معمولاً با احساس پری یا سیری سریع در هنگام غذا خوردن همراه است. بسیاری از افراد ممکن است این علامت را با مشکلات گوارشی اشتباه بگیرند، اما تفاوت در این است که نفخ ناشی از سرطان تخمدان بهبود نمییابد و بهطور مداوم ادامه دارد. این علامت اگر به همراه درد لگن، مشکلات ادراری (مانند تکرر ادرار یا احساس فشار در مثانه) و تغییرات در الگوی گوارشی مشاهده شود و چند هفته ادامه داشته باشد، اهمیت ویژهای دارد و بهتر است با مراجعه به پزشک بررسیهای لازم انجام شود.
اولین علامت سرطان تخمدان
اولین علامت سرطان تخمدان معمولاً نفخ مداوم و تورم شکم است. این نفخ اغلب بهطور مداوم وجود دارد و با تغییرات رژیم غذایی یا داروهای معمول گوارشی برطرف نمیشود. این علامت ممکن است با احساس پری یا سیری سریع هنگام غذا خوردن، درد خفیف در ناحیه لگن یا شکم، و یا افزایش ناگهانی دور شکم همراه باشد. اگر این نشانهها چند هفته ادامه داشته باشد و بهبود نیابد، مراجعه به پزشک برای انجام بررسیهای بیشتر ضروری است، زیرا تشخیص زودهنگام میتواند در بهبود درمان تأثیر چشمگیری داشته باشد
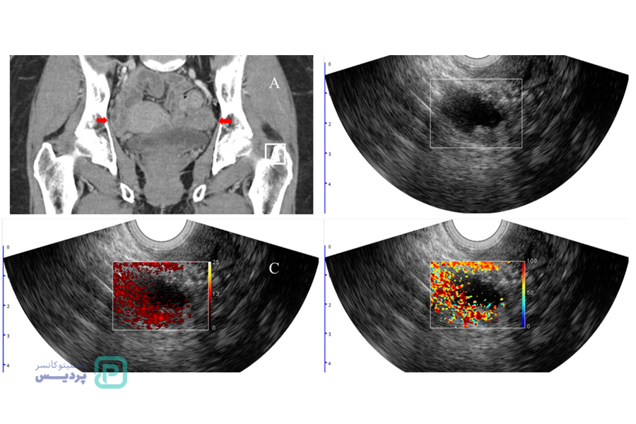
تشخیص سرطان تخمدان با سونوگرافی
تشخیص سرطان تخمدان با سونوگرافی لگنی یکی از روشهای رایج و مؤثر است که به پزشک کمک میکند ساختار و وضعیت تخمدانها را بررسی کند. در این روش، با استفاده از امواج صوتی تصاویر دقیقی از تخمدانها و بافتهای اطراف آن ایجاد میشود. سونوگرافی ترانسواژینال نیز نوعی از سونوگرافی است که در آن دستگاهی بهطور مستقیم به داخل واژن وارد میشود و تصاویری با جزئیات بیشتر از تخمدانها و رحم به دست میآید.
سونوگرافی به پزشک امکان میدهد تا وجود هرگونه توده یا کیست غیرطبیعی را در تخمدانها شناسایی کند و اندازه، شکل و خصوصیات آن را بررسی نماید. اگرچه سونوگرافی میتواند تغییرات مشکوک را نشان دهد، اما برای تأیید قطعی سرطان، ممکن است آزمایشهای بیشتری مانند آزمایش خون CA-125، سیتیاسکن، یا نمونهبرداری از بافت نیز لازم باشد.
سرطان تخمدان و آب آوردن شکم
یکی از علائم پیشرفته سرطان تخمدان، آب آوردن شکم یا آسیت است. آسیت به تجمع غیرطبیعی مایع در حفره شکمی گفته میشود که باعث تورم و افزایش سایز شکم میشود. این وضعیت به دلیل رشد تومورهای سرطانی در تخمدانها و انتشار آنها به بافتهای اطراف رخ میدهد و میتواند با فشار بر روی عروق خونی، خروج مایعات به داخل حفره شکمی را افزایش دهد.
آسیت در سرطان تخمدان باعث ناراحتیهای شدیدی میشود، از جمله احساس سنگینی، نفستنگی، و درد شکمی. اگر آبآوردگی شدید باشد، ممکن است در تنفس یا تحرک بیمار هم اختلال ایجاد کند. برای کاهش آسیت، پزشک ممکن است از روشهای درمانی مانند داروهای مدر یا پارانترالتزی (آسپیراسیون مایع) استفاده کند تا مایعات اضافی را خارج کرده و به بهبود وضعیت بیمار کمک کند.
طول عمر بیماران سرطان تخمدان
طول عمر بیماران مبتلا به سرطان تخمدان به عوامل متعددی بستگی دارد، از جمله مرحله سرطان در زمان تشخیص، نوع تومور، سن و وضعیت کلی سلامت بیمار، و پاسخ به درمان. بهطور کلی، سرطان تخمدان اگر در مراحل اولیه تشخیص داده شود، احتمال درمان و طول عمر بیشتری دارد.
بر اساس آمارها، نرخ بقای 5 ساله برای بیمارانی که در مرحله اولیه سرطان تخمدان تشخیص داده میشوند (یعنی سرطان به سایر قسمتهای بدن گسترش نیافته)، حدود 90 درصد است. اما متأسفانه، بسیاری از موارد سرطان تخمدان در مراحل پیشرفتهتر شناسایی میشوند. برای مراحل پیشرفته (زمانی که سرطان به سایر بخشها گسترش یافته)، نرخ بقای 5 ساله بهطور متوسط حدود 30 درصد کاهش مییابد.
پیشرفتهای جدید در روشهای درمانی، مانند شیمیدرمانی هدفمند، ایمنیدرمانی، و داروهای نوین، کمک کردهاند تا امید به زندگی و کیفیت زندگی بیماران بهبود یابد. مراقبتهای حمایتی و تشخیص زودهنگام از طریق معاینات منظم میتواند تأثیر بسزایی در طول عمر و موفقیت درمان داشته باشد.
بهترین دکتر برای درمان سرطان تخمدان
کلینیک پردیس یکی از مراکز معتبر و شناختهشده در درمان سرطان، از جمله سرطان تخمدان، به شمار میرود و دارای تیمی از پزشکان متخصص و باتجربه در زمینه سرطانهای زنان است. در این کلینیک از روشهای پیشرفته تشخیص و درمان برای مقابله با سرطان تخمدان استفاده میشود که شامل شیمیدرمانی، جراحیهای تخصصی، درمانهای هدفمند و مراقبتهای حمایتی میشود.
در کلینیک پردیس، پزشکان متخصص سرطانشناسی زنان و متخصصین انکولوژی، که همگی در زمینه تشخیص و درمان انواع سرطانهای دستگاه تناسلی زنان از جمله سرطان تخمدان تخصص دارند، فعالیت میکنند. تیم این کلینیک از جراحان حرفهای و انکولوژیستهای پرتودرمانی و شیمیدرمانی تشکیل شده است که با همکاری هم، درمانهای چندجانبهای را برای بیماران ارائه میدهند.
جمع بندی
کلینیک پردیس یکی از مراکز معتبر و پیشرفته در تشخیص و درمان سرطان تخمدان است که با بهرهگیری از پزشکان متخصص در زمینه سرطانهای زنان و دستگاه تناسلی، خدمات جامعی به بیماران ارائه میدهد. سرطان تخمدان در مراحل اولیه علائم واضحی ندارد و معمولاً دیر تشخیص داده میشود، اما برخی علائم هشداردهنده مانند نفخ مداوم، درد یا فشار در ناحیه لگن و شکم، تغییرات در الگوی ادراری، و احساس سیری سریع پس از شروع غذا ممکن است نشانههای اولیه آن باشند. در صورت مشاهده این علائم بهویژه اگر مداوم باشند، مراجعه به پزشک ضروری است.
در کلینیک پردیس، تیمی از انکولوژیستها و جراحان حرفهای، با استفاده از روشهای نوین درمانی مانند شیمیدرمانی هدفمند، جراحیهای تخصصی و مراقبتهای حمایتی، درمانهای چندجانبه و دقیقی را برای سرطان تخمدان ارائه میدهند. درمان این بیماری به مرحله سرطان و وضعیت کلی بیمار بستگی دارد و تشخیص زودهنگام میتواند به افزایش طول عمر و بهبود کیفیت زندگی بیمار کمک شایانی کند. بیماران با مراجعه به کلینیک پردیس میتوانند از مشاوره تخصصی، امکانات پیشرفته و تیمی از بهترین پزشکان بهرهمند شوند.



بدون دیدگاه